Melbourne based dentist

*website best viewed in landscape mode

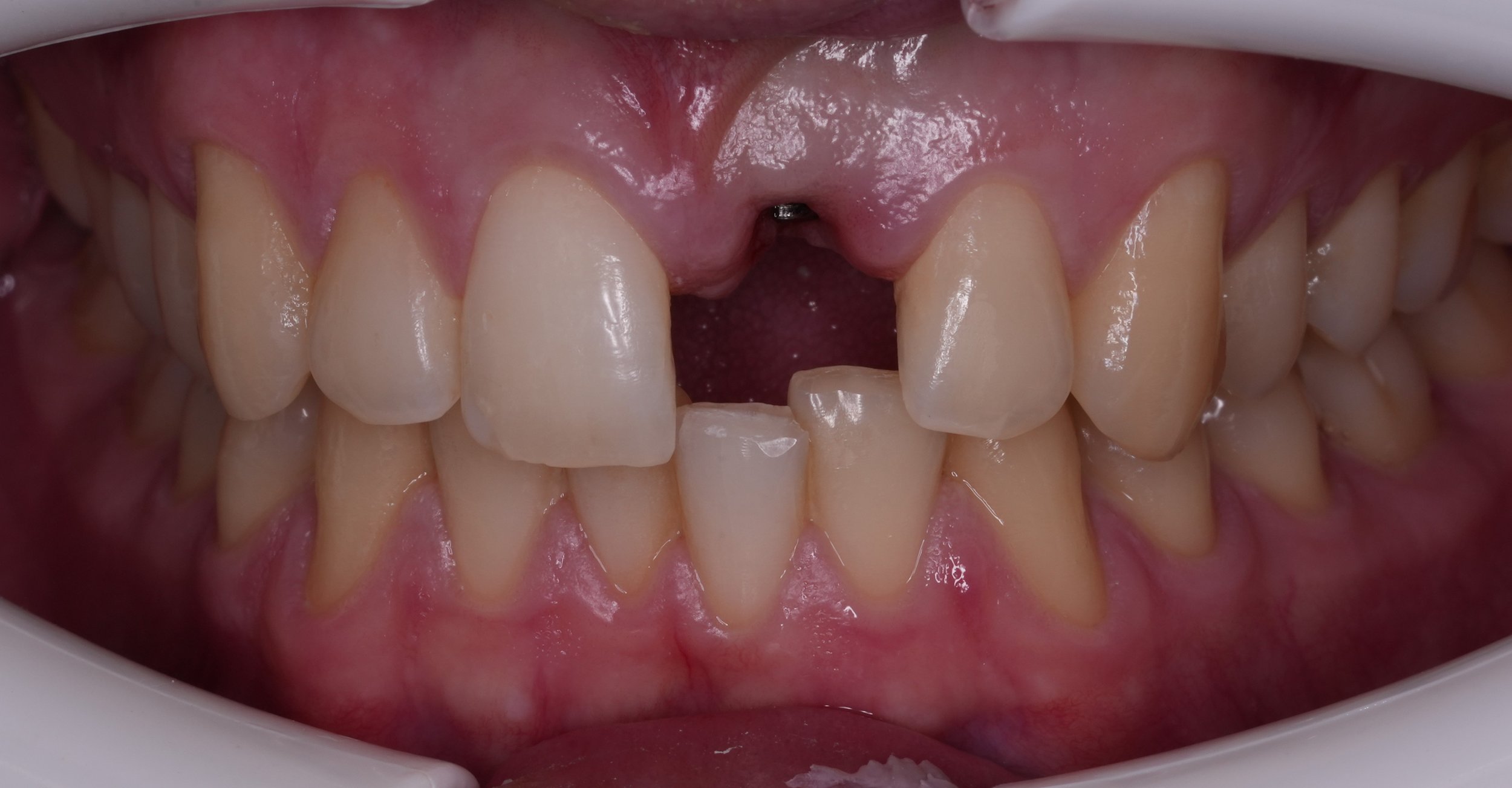
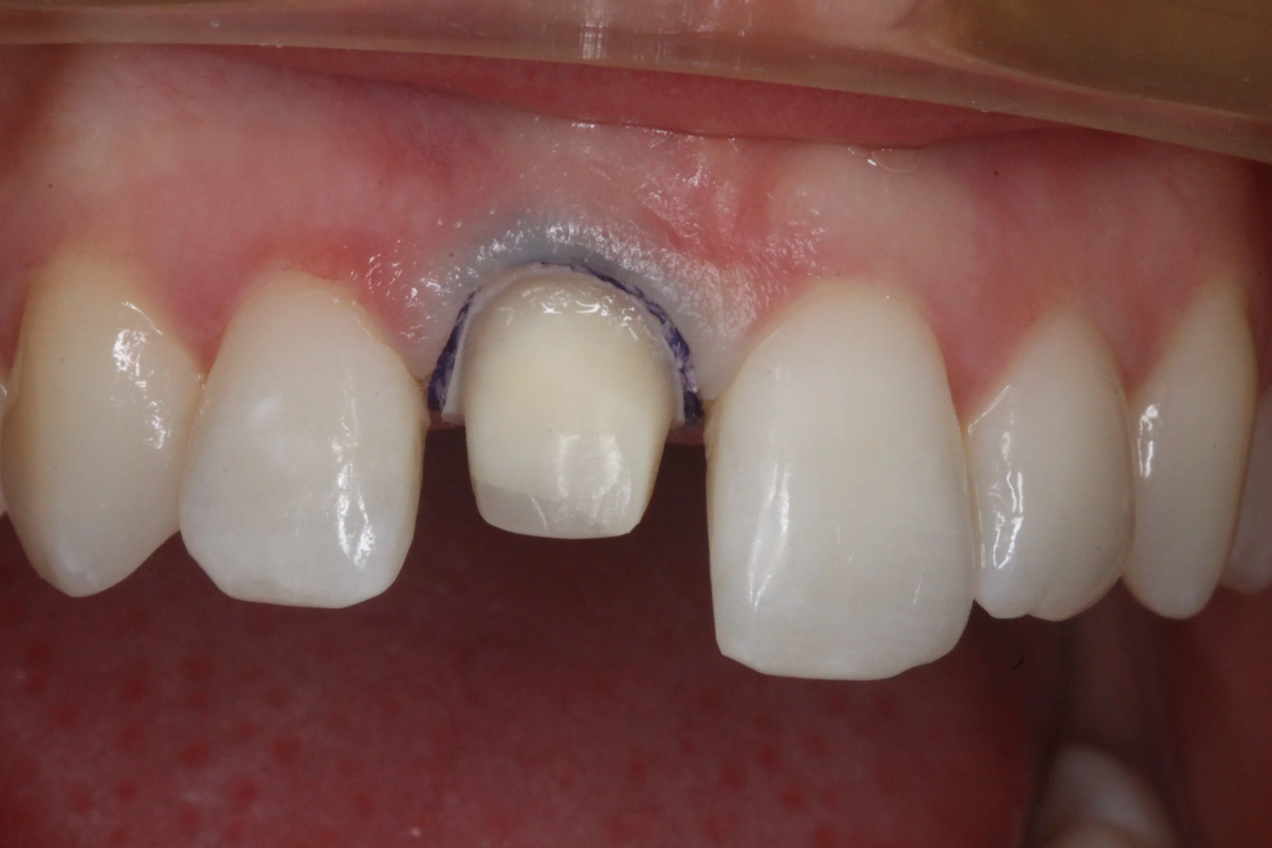
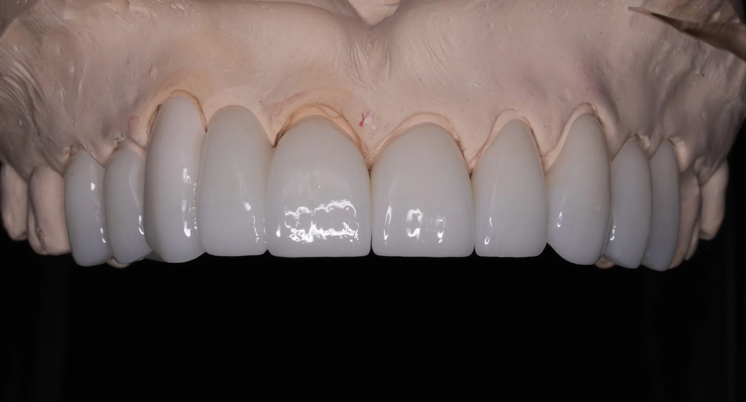
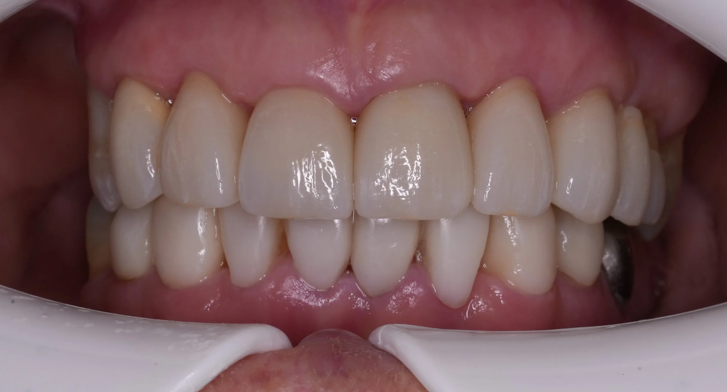
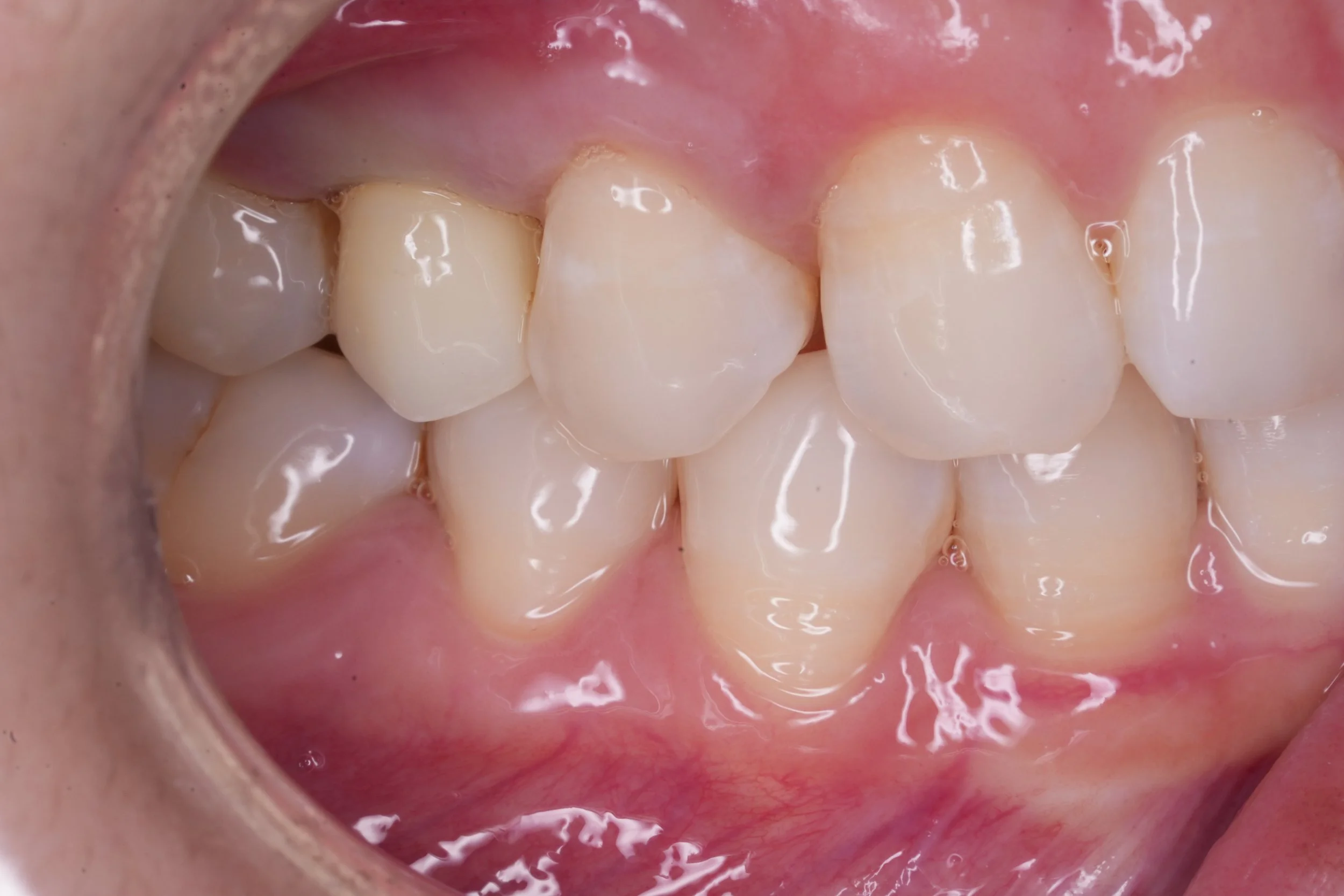
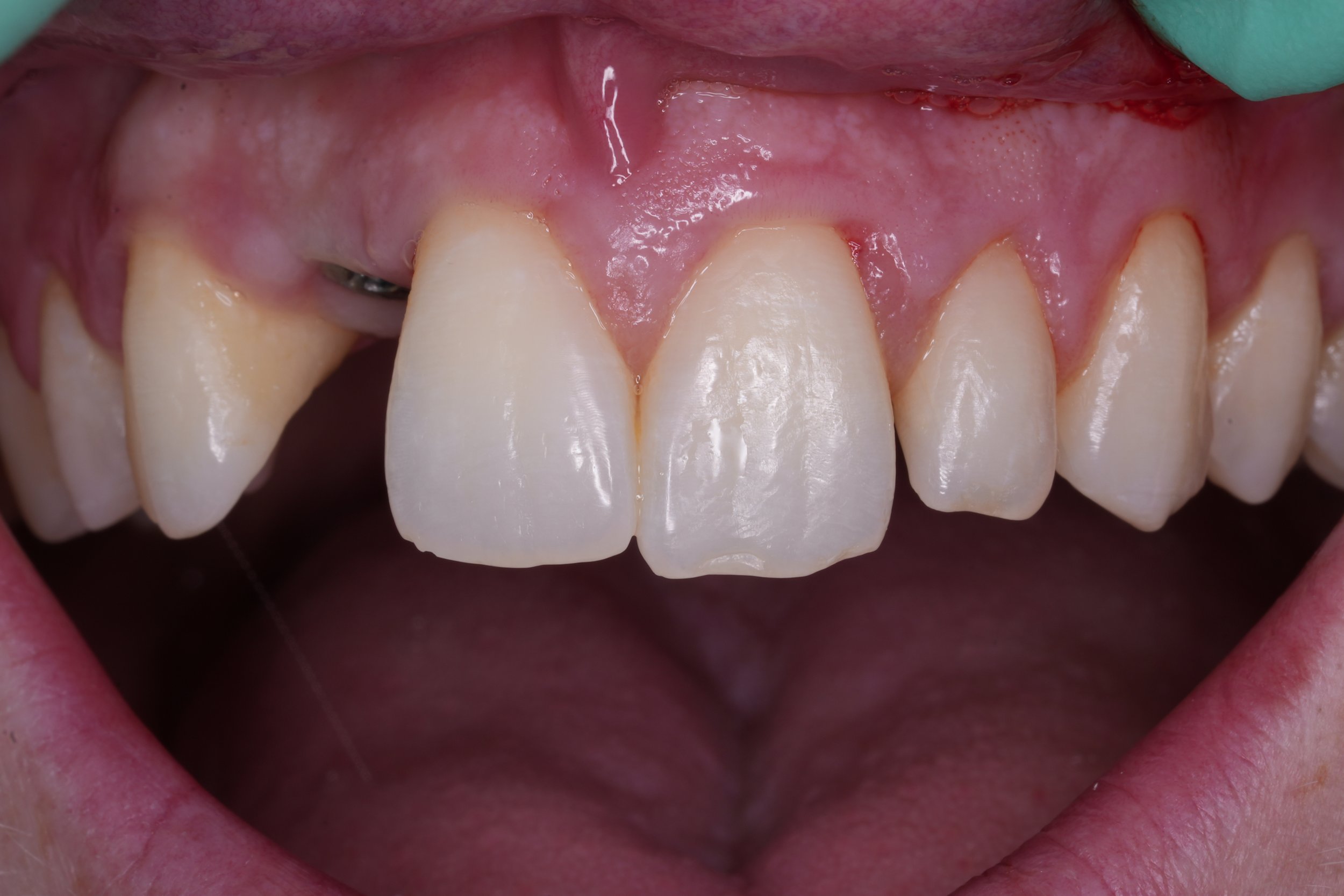
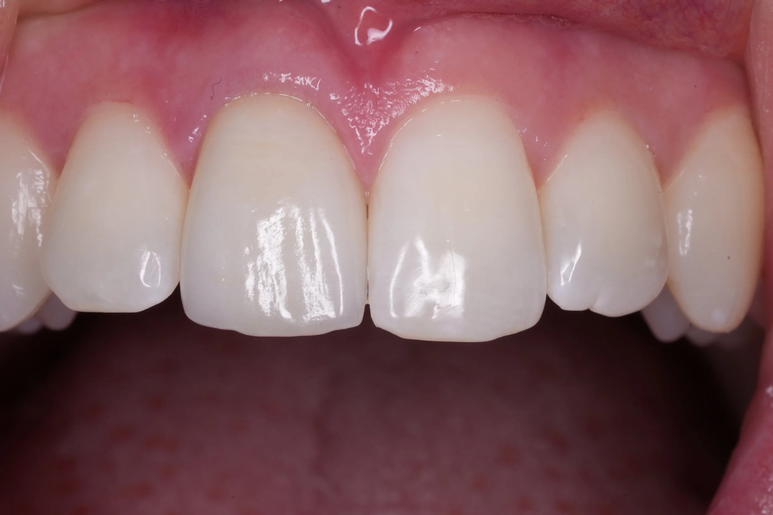
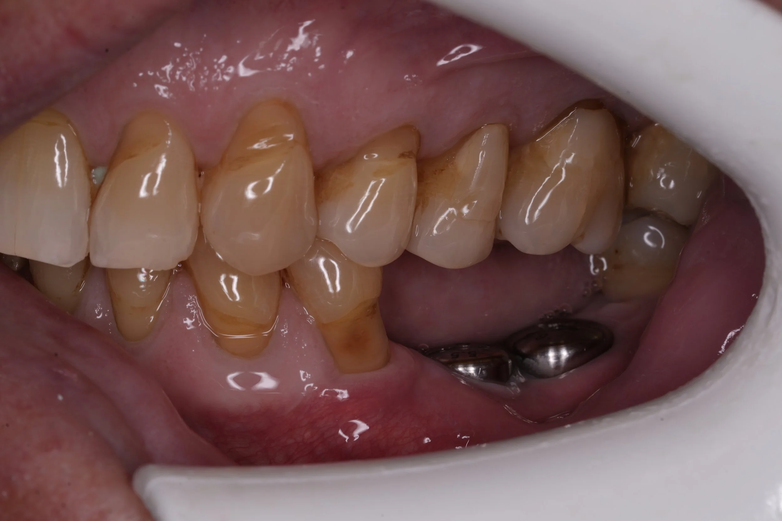
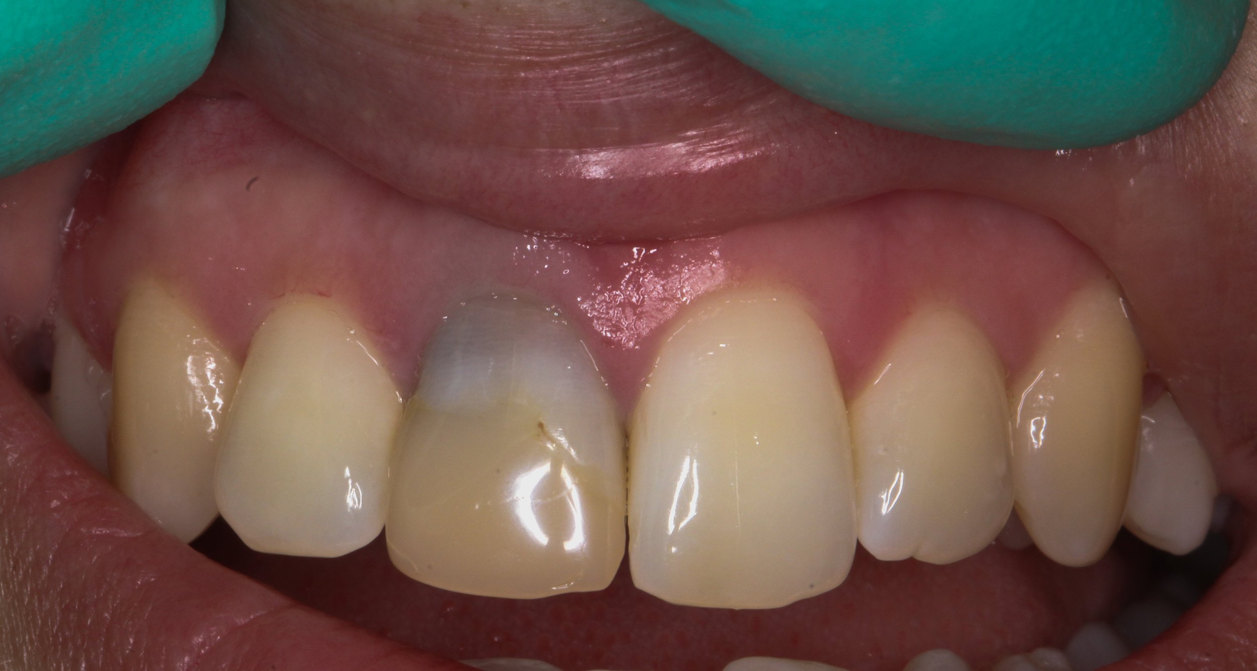
Fixed pros

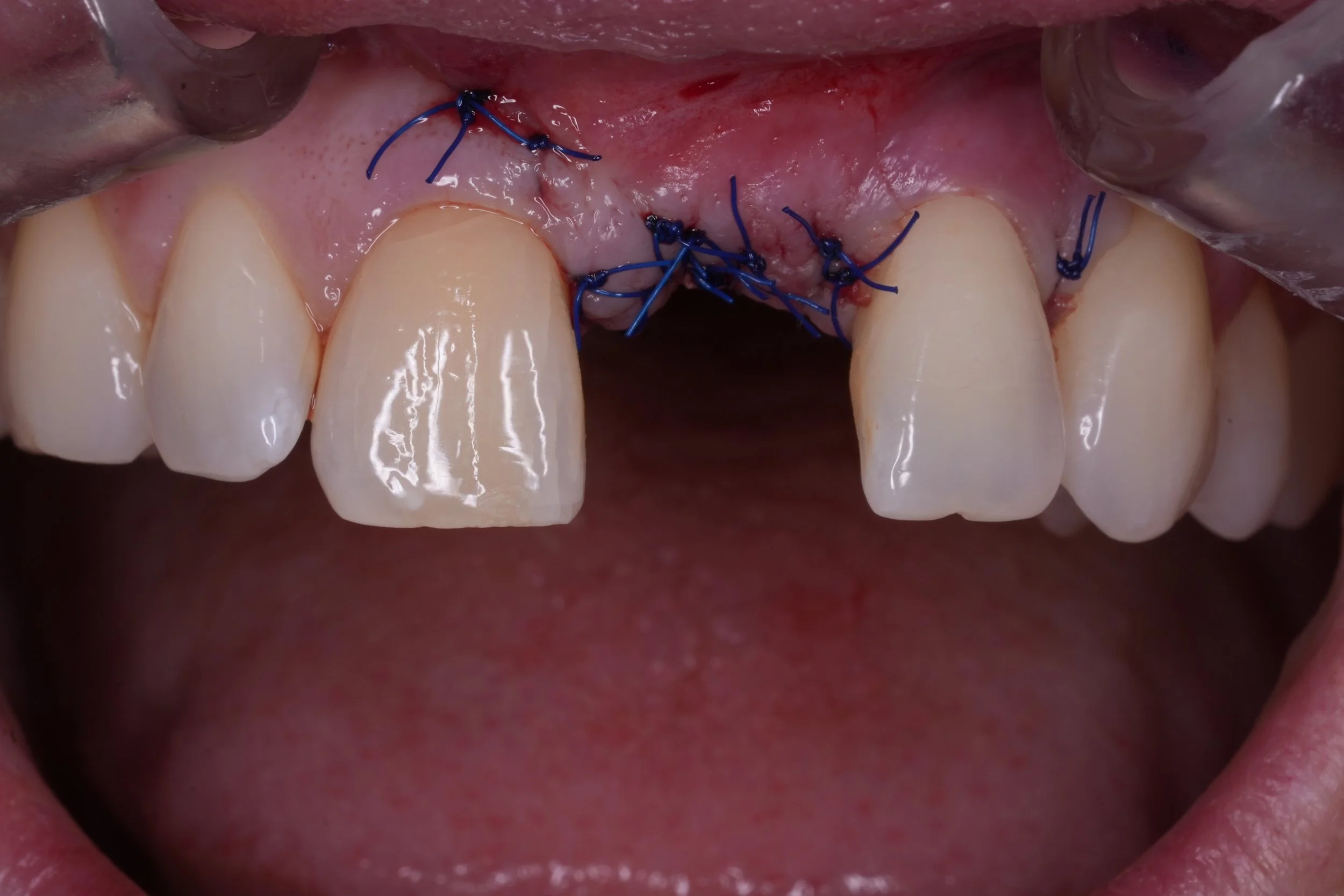
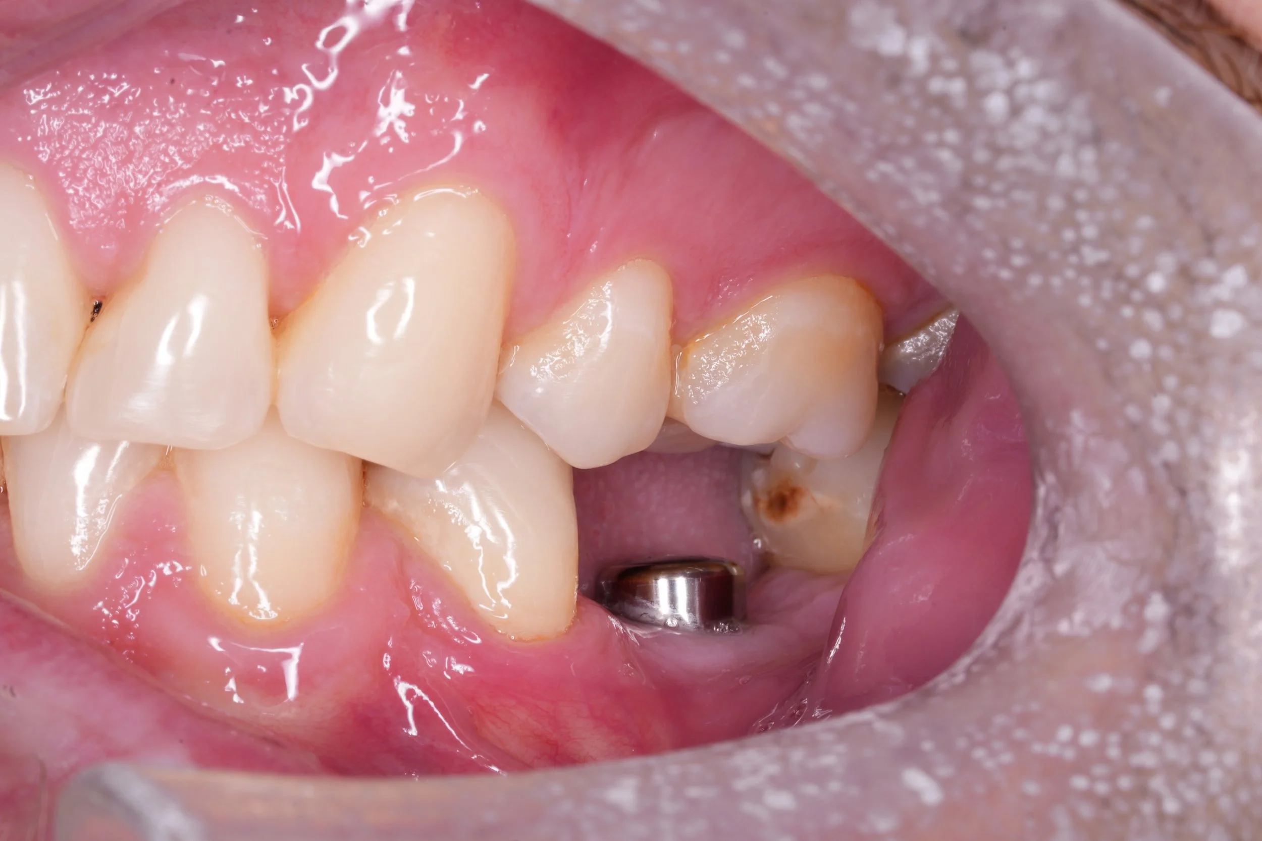
Dental Implants

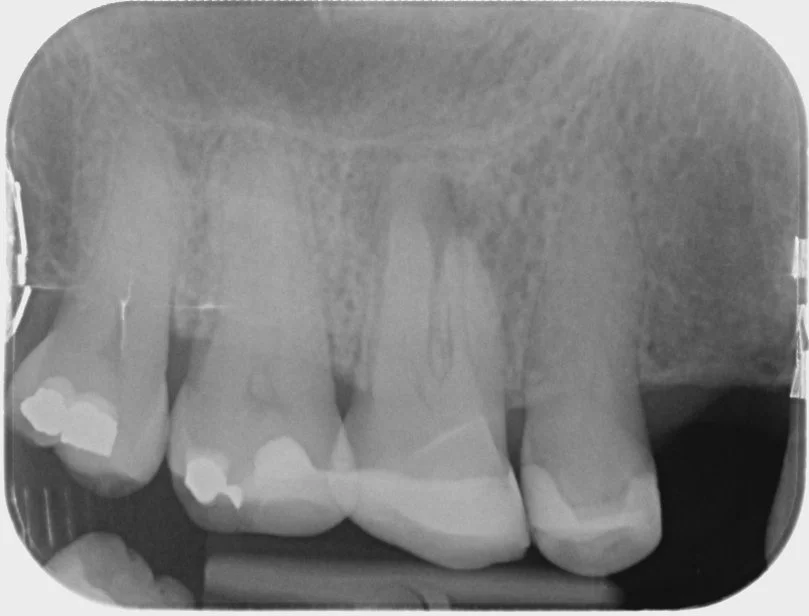
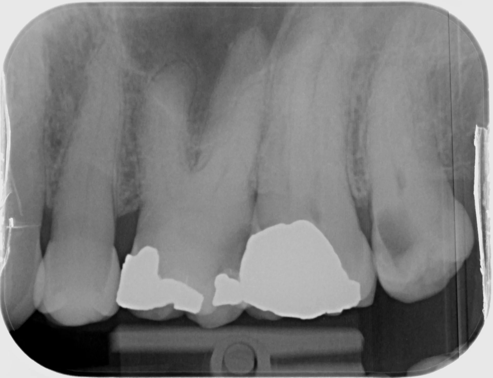
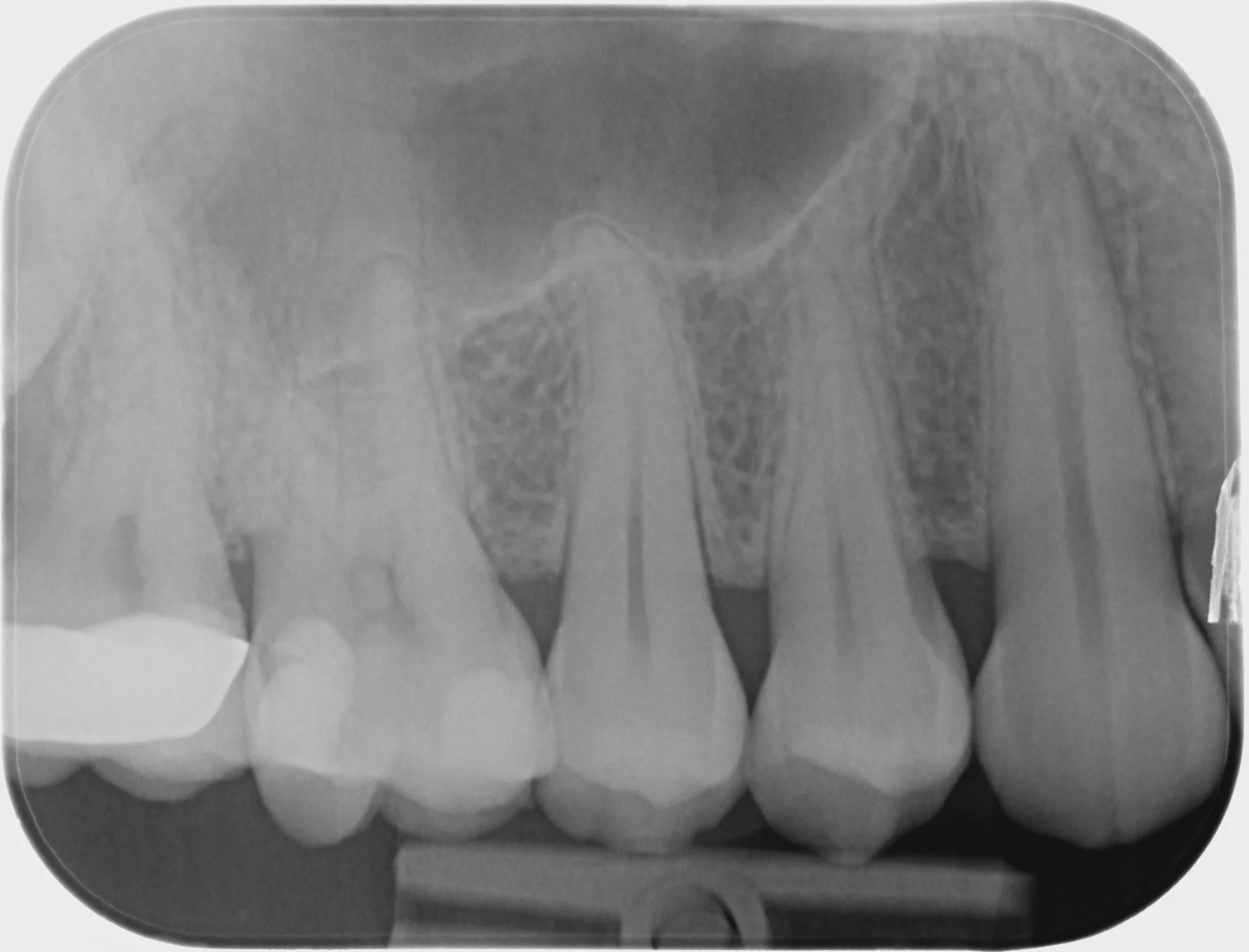
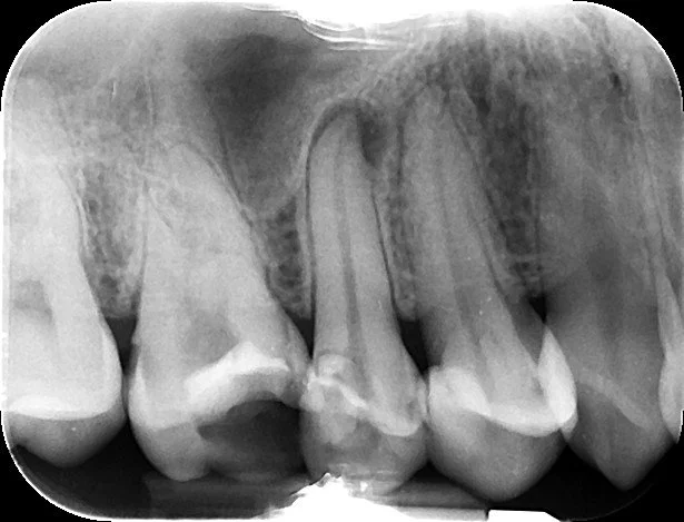
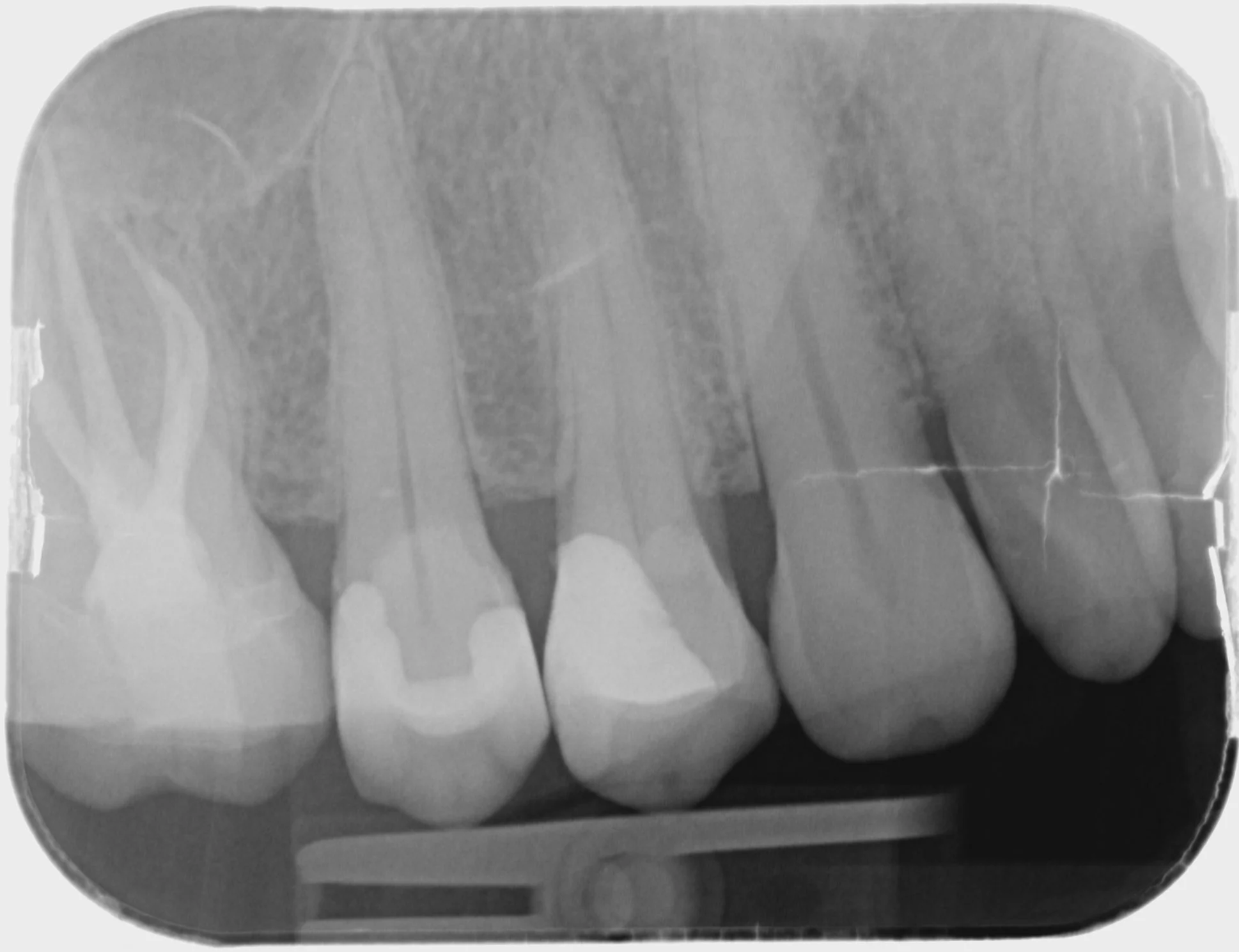
Endodontics