#16 endo through conventional crown

I am sharing a nice endo case through a pre-existing ceramic crown.

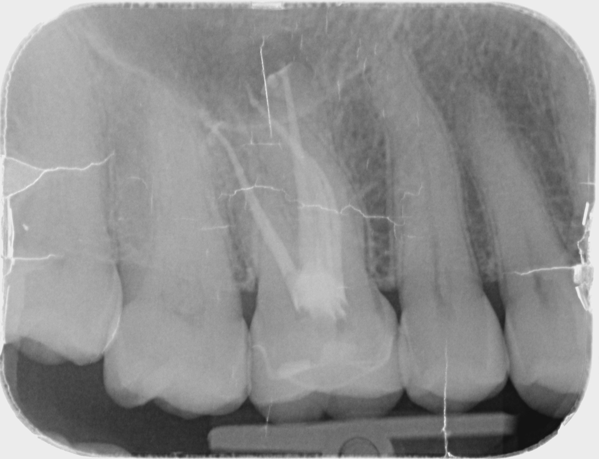
Patient presented with pain on 16. PA radiograph shows PARL.

Access made through crown. Some exploration needed to find MB1 and MB2 canals.

Post operative radiograph showing joining on MB1 and MB2 canal at apical 1/3.

Previous
Previous

#16 RCT with challenging MB2

Next
Next

#26 with Vertucci class 4 (1-2 configuration) in palatal root