A difficult tooth #16 root canal

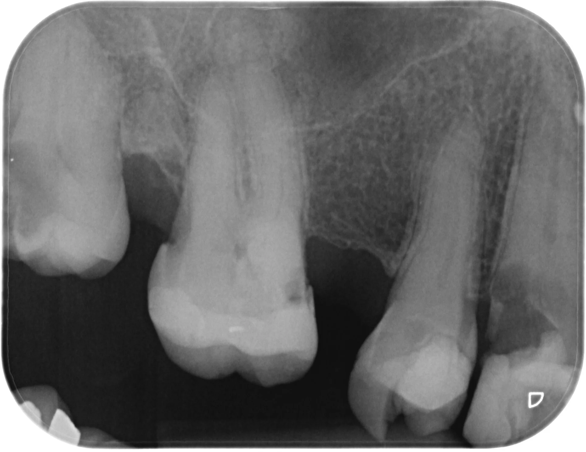
This was a fairly difficult tooth #16 root canal I performed recently. The MB2 orifice was very calcified and buried underneath a substantial amount of tertiary dentine. A significant trough of about 2mm depth along the MB groove was needed to uncover the MB2 orifice. The access was also extended fairly mesial to help obtain straight line access into the MB2 canal coronal 1/3.

Prepared MB1 and MB2 canals. Note depth of MB groove trough relative to pulp chamber floor

DB and P orifice

Obturated MB1 and MB2 canal

Obturated DB and P canal

Note #13 planned for extraction

Previous
Previous

Another challenging upper first molar RCT

Next
Next

Heavily calcified mesial lingual canal on #37